本来仅黄豆大小的一个肿块,2个月内却疯长到占满整个右半脸,不及时切除可能很快会危及生命。近日,中南大学湘雅医院口腔颌面外科专家结合穿支皮瓣技术和3D打印技术,彻底切除了这一巨大肿瘤,并修复了面部近15*18厘米的巨大洞穿性创面,为患者张先生(化名)精准打造了一张“新面孔”。
肿瘤2个月长满右半脸,无法进食狂瘦20斤
53岁的张先生没有想到,口腔里的一个才黄豆大的“小坨”,仅2个月时间竟然长满了他的右半脸,甚至开始流血水,散发出难闻的味道。活检发现,原来张先生患上的是晚期颊癌。肿瘤导致的疼痛更是让张先生无法正常进食,狂瘦了20斤。
“恶性肿瘤到后期是以类似几何倍数的速度疯长,患者入院以来,我们都可以看到肿瘤以肉眼可见的速度在生长。”湘雅医院口腔颌面外科闵安杰副教授表示,仅术前的2周,张先生脸部皮肤就由完整到破溃,肿瘤也从口腔内部穿过肌肉长到外面来,术前已突出有鸡蛋大小,并向下长到了嘴唇外面,导致张先生嘴巴都无法合拢。
进一步的检查显示,肿瘤已经侵犯长满了张先生的右半脸,向上侵犯到了上颌骨,向下到了颈部,甚至越过脸部中线,侵犯了对侧上唇。
“如果不及时手术切除,肿瘤很可能造成患者无法进食甚至呼吸,导致恶病质或窒息而危及生命,肿瘤也很容易通过淋巴结转移,甚至侵犯到眼球甚至颅内,患者可能只有几个月的生命了。”闵安杰副教授表示。

巨大缺损修复难度高,“湘雅换脸术”为手术保驾护航
要挽救张先生的生命,首先就是要彻底切除这个巨大的肿瘤,然而切除后的修复工作才是最大的难点,因为如果无法保证安全的修补创面的话,肿瘤切除手术也是无法进行的。张先生的面部肿瘤切除后会形成一个巨大的洞穿性空腔,必须用身体其他部位的皮瓣通过吻合血管的游离移植立即对面部和口腔内进行双层修复,否则患者术后同样无法存活。修复如此巨大的缺损,在全国都非常少见。如何给张先生一张“新脸”,成为摆在医生面前的一道难题。
以往的修复手术一般都是取带肌肉的皮瓣,但修补在面部时,就会显得非常臃肿,特别是还需要修补嘴唇,皮瓣就需要更薄。闵安杰副教授选择采用国内最先进的穿支皮瓣技术,只取带皮肤和血管的皮瓣,减少了皮瓣的厚度,使修复更精准、美观。
新的难题来了,从哪里取的皮瓣可以修复如此大的缺损?如果仅用一整块皮瓣修补,无论是从身体何处取,都难以切取如此巨大的皮瓣,且供区伤口太大都无法缝合;如果用几块小皮瓣修补,脸上的疤痕又太多,影响美观。
经过科室内专家讨论,具有整形外科背景的闵安杰副教授决定采用国内首创的“湘雅换脸术”——双蒂联体式腹壁下动脉穿支皮瓣(DIEP)联合旋股外动脉穿支皮瓣(ALTP)作为修复方案,将面部的巨大缺损巧妙的一分为二,从张先生的双侧腹部切取2块皮瓣,然后在面部通过精准的拼接重新形成整张的“面皮”,同时切取左大腿处的皮瓣修补口腔内的缺损。据悉闵安杰副教授此前也曾成功采取该项技术为一位巨大口腔癌患者进行了“换脸术”,并取得了良好效果。


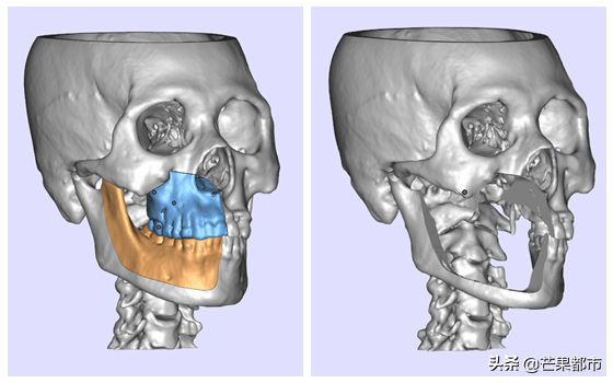
术前虚拟手术,数字化外科与3D打印助力精准修复
为使手术过程更加直观、精准,专家们还采用了先进的数字化外科与3D打印技术对整个手术进行了“术前虚拟”。术前将患者的影像学数据导入到电脑软件中,在软件中重建了患者的数字化模型,并在模型上模拟了面部及上、下颌骨的手术切除范围。并通过3D打印机将切除后的模型直接打印出来。通过在3D模型上测量缺损的大小及形状,并根据术前设计进行皮瓣分割,确定了3块皮瓣的大小及形状。这样不仅节省了手术中的设计时间,而且使皮瓣的切取更为精确、微创,即保证修复效果,又不浪费一寸多余的皮瓣,以避免不必要的损伤。通过虚拟手术,专家们不仅为张先生“量体裁肤”,设计出了一张“新脸”,而且使医生们术前更加“心中有谱”,使手术更加安全、高效。
术前1天超声影像科主任廖锦堂教授、徐乐天主治医师牺牲中午休息时间,对3块皮瓣穿支血管进行了超声检测和定位,为皮瓣的设计及成功制备奠定了基础。

3组医生同台手术19小时,成功为患者换脸重生
7月2日上午9点半,在手术室护理团队及麻醉科的大力配合下,由蒋灿华教授带领闵安杰副教授、高兴主治医师、陈洁博士等人,分成3组同时开台切除肿瘤和制备皮瓣,尽量缩短手术时间。
第一组切除肿瘤及双侧颈淋巴结清扫,将患者整个右面部的皮肤、同侧和对侧上唇、同侧部分下唇、上颌骨、部分下颌骨、右颊部粘膜、咬肌、翼内肌、腮腺、牙齿全部切除,并进行了双侧颈部淋巴结清扫。与此同时,第二组和第三组分别开始切取腹部2块皮瓣和大腿处皮瓣。
即使有了精准的设计方案,手术仍然有着巨大的风险,更何况,这是张先生唯一的手术机会。肿瘤切除后,张先生面部遗留了一个将近15×18cm的巨大洞穿性创面,接近右侧整侧面部的软组织缺损,需要用取下的3块皮瓣进行修补。
“每块游离皮瓣移植到面部后必须有血液供应才能存活,因此必须在显微镜下进行微动脉及静脉的吻合。而吻合血管操作要求尤为精细,每根血管的口径都只有1毫米左右,1根血管要缝8-10针,用的线比头发丝还细。只要一针没有缝好引起血管堵塞或漏血,都会导致皮瓣坏死。一旦有一块皮瓣坏死,都是灾难性的后果,整个伤口会感染坏死,手术就会失败。”闵安杰副教授表示。
专家们在显微镜下一共吻合了7根血管,吻合一根血管就需要20-30分钟。手术一共持续了19个小时,到第二天凌晨4点左右才结束。神奇的是,当将3块皮瓣按术前设计拼接在一起后,张先生的“新脸”出现了,而且上下唇、鼻面沟及面部的形态及厚薄都显得“恰如其分”。
经过20多天的术后精细护理,张先生的“新脸”皮瓣血运良好,伤口顺利愈合,未出现并发症,讲话很清楚,很快就可以恢复正常饮食,已于7月24日顺利出院,后续将继续进行放疗。
“湖南地区一直是国内口腔癌发病率最高的省份,且很多患者来就医时都已是口腔癌晚期。过去很多这样的患者都没有手术的机会了,现在随着穿支皮瓣等显微外科技术的进步,我们科的修复重建水平也得到了飞速发展,目前已经居于国内的先进行列,而修复重建技术的保障使得这些患者获得了重生的希望。我们最初开展这类手术是希望患者能活下来,现在我们希望他们还要活得有尊严,提高患者的生活质量和外形美观,让他们能够顺利融入社会。”口腔颌面外科主任蒋灿华教授表示,此例大型“湘雅换脸术”的顺利完成,是我院口腔颌面外科成为卫生部临床重点专科和全国性“局部晚期口腔鳞癌的TPF诱导化疗的多中心研究”的核心成员以来获得的众多进展之一,借助大型综合医院的多学科联合治疗实力,湘雅人将努力进一步提高口腔癌症患者的总体生存率和生存质量,造福广大百姓。
免责声明:本文章如果文章侵权,请联系我们处理,本站仅提供信息存储空间服务如因作品内容、版权和其他问题请于本站联系